Rialzo di seno mascellare
Se il triangolo retrocanino si mostra comunque di volume insufficiente oppure in ogni caso si tratti di ripristinare elementi mancanti nel settore latterale superiore premolare e molare in configurazione singola o multipla e i volumi ossei risultano a loro volta insufficienti, si rende necessario l’utilizzo di tecniche chirurgiche che prevedono un aumento dei volumi ossei necessari mediante il cosiddetto “RIALZO DEL SENO MASCELLARE”
Questa modalità chirurgica venne proposta da Boyne circa quarant’anni fa il quale utilizzò per tale aumento di volume, osso del paziente prelevato dalla cresta iliaca ed inserito nel seno mascellare(4). La validità di questa tecnica è stata confermata negli anni successivi ma necessitando di un intervento di prelievo osseo dalla cresta iliaca è stata ritenuta troppo invasiva e da molto tempo di fatto abbandonata. (5,6)
Circa venti anni fa Misch propose una modalità di prelievo osseo dal ramo della mandibola. (7) Questo sito donatore di osso del paziente stesso si è confermato grazie anche a conferme da parte di altri autori di grande esperienza, (8)come il sito di prelievo ideale sia per la facilità di accesso sia per esser ben sopportato dai pazienti nel post operatorio.
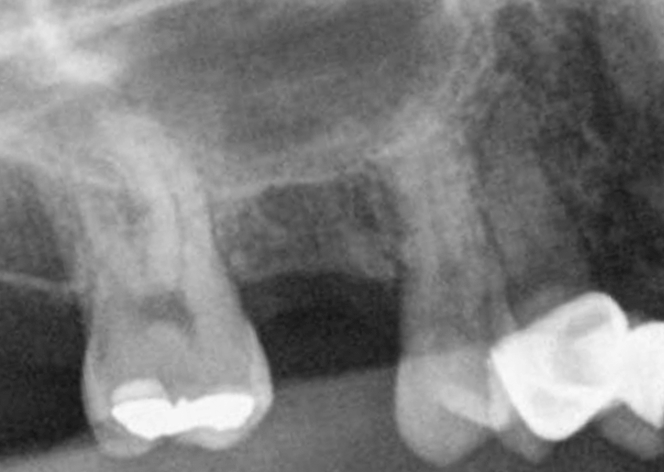
La panoramica dimostra l’esiguità del triangolo retrocanino che non può pertanto essere utilizzato per l’inserimento di due impianti. L’area posteriore rivela un’atrofia ossea pronunciata che richiede un rialzo di seno con innesto di osso del paziente (autologo) che verrà prelevato dal ramo mandibolare
Dopo sei mesi dall’innesto vengono inseriti gli impianti e dopo ulteriori sei mesi vengono applicati i denti in ceramica.
Esiste una seconda modalità chirurgica che consente di ottenere un aumento dei volumi utile all’inserimento degli impianti necessari. Questa tecnica, descritta nel 2003 da Stefan Lundgren direttore del Dipartimento di Chirurgia Maxillo Facciale dell’Università di Umea (Svezia), presenta l’enorme vantaggio di non richiedere nessun innesto di materiale all’interno del seno mascellare sia esso osso autologo del paziente,( il che evita quindi di ricorrere ad un secondo intervento chirurgico di prelievo dal ramo mandibolare) o eterologo vale a dire osso di origine bovina o di natura sintetica che alcuni Autori utilizzano come sostituto dell’osso autologo. Questa tecnica può essere usata in un enorme numero di casi in quanto come vedremo sono sufficienti davvero pochi millimetri (due /tre) di osso residuo per poterla applicare.
Professor Stefan Lundgren
Photo By: John Doe
Button
La tecnica nasce da un’osservazione casuale di Lundgren come racconta Egli stesso nell’articolo del 2003 nel quale presenta per la prima volta la sua tecnica. Pochi mesi prima dovette trattare una paziente che presentava una grossa cisti mucosa all’interno del seno mascellare che complicandosi spesso con noiose sinusiti doveva essere rimossa. L’intervento si svolse classicamente con l’accesso al seno tramite uno sportello osseo praticato sulla parete laterale del seno e dopo aver tolto la ciste, Lundgren suturò la membrana sinusale che ovviamente si era lacerata nel rimuovere la ciste. In tal modo, come ebbe ad osservare successivamente Lundgren, si formò uno spazio vuoto all’interno del seno mascellare che aveva per “soffitto” la membrana suturata e per “pavimento” appunto il pavimento del seno medesimo. Circa tre mesi più tardi la paziente chiese di ricevere degli impianti nella zona precedentemente operata a causa della ciste. Lundgren si accinse quindi ad eseguire un rialzo di seno con prelievo di osso dal ramo mandibolare secondo Mish. L’intervento come di consueto ebbe inizio con l’accesso alla cavità sinusale, di fatto nello stesso tratto operato tre mesi prima. Con enorme sorpresa il chirurgo non trovò davanti a se nessuna cavità ma al contrario un nuovo tessuto osseo che riempiva questo sì, lo spazio che si era creato nel primo intervento. L’intuizione di Lundgren di fatto diede vita alla tecnica che porta il suo nome. La costituzione di una cavita all’interno del seno mascellare è seguita dalla generazione spontanea di nuovo osso.(8)
Un autentico caso di Sernedipity, un neologismo coniato da Horace Wallpole( 1717-1797) per indicare una fortunata scoperta inattesa in riferimento ad un testo del 1548 di Cristoforo Armeno che racconta le avventure e le scoperte occasionali di tre Principi nella terra di Serendipppo(l’attuale Sri Lanka)
Da questo all’idea creare una cavita grazie al sollevamento della membrana sinusale e di inserire degli impianti in essa che stabilizzati in qualche millimetro di supporto di osseo crestale residuo tenevano sollevata la membrana sinusale come il “pilastro di una tenda del circo” il passo fu brevissimo. In questa cavità cosi mantenuta dagli impianti, dopo alcuni mesi, era certa la presenza di nuovo osso attorno ad essi formatosi spontaneamente. L’anno successivo Lundgren definiva la sua tecnica e la consegnava agli operatori di tutto il Mondo.(9)
Ad oggi questa tecnica ha ricevuto numerosissime conferme cliniche e sperimentali confermadosi eccellente per la sua semplicità di eseguzione, l’alta tollerabilità da parte dei pazienti e per l’altissima costanza di risultati. (10,11,12)
I seguenti disegni illustrano le fasi chirurgiche
Circa dieci anni fa il mio gruppo di lavoro ha pubblicato i risultati relativi a quindici pazienti trattati con la tecnica di Lundgren per un totale di 28 impianti seguiti per oltre un anno dopo l’applicazione dei denti. Non fu registrato nessun fallimento. Tutti gli impianti si rivelarono perfettamente integrati dopo un anno di carico e circondati da un notevole volume di osso neoformato. (14)
Un controllo sui medesimi pazienti a distanza di cinque anni ha confermato il mantenimento dell’integrazione ossea in tutti gli impianti, senza nessun fallimento. Al contrario si è rilevato un ulteriore crescita ossea attorno agli impianti. (dati non pubblicati)
Impianti multipli
Singolo impianto
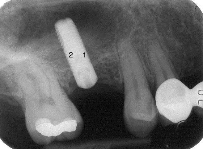
Rigenerazione mesiale 1: 5.4 mm
Rigenerazione distale 2: 4.2 mm*
Rigenerazione tratti intermedi 3: 6.4 mm
I versanti mesiali e distali presentano rigenerazioni leggermente minori a causa della spinta dell’aria causata dall’attività pneumica del seno mascellare
Cinque anni dopo gli stessi pazienti sono stati nuovamente valutati clinicamente e radiograficamente. Tutti gli impianti risultarono stabili ed asintomatici. La perdita di osso marginale che ad un anno si era rivelata di una media di 0,36mm, dopo cinque anni si è dimostrata essere di 0,7 mm ovvero inferiori ai valori di riassorbimento consentiti di 0,2 mm per ogni anno di carico.
Criteri di successo proposti da Schnitman e Shulman nel 1979 e superati dai criteri proposti da Albrektsson et All nel 1986
L’ambulatorio di odontoiatria è disponibile per visite e consulenze: chiamate e prenotate un appuntamento





























